A saúde bucal e a autoestima do brasileiro na pandemia da COVID-19 não ficaram em baixa. A prova disso é o crescimento dos implantes dentários durante o período. Dados da Associação Brasileira da Indústria Médica, Odontológica e Hospitalar (Abimo) mostram que 2,4 milhões de próteses dentárias e 800 mil implantes são realizados anualmente no País.
De acordo com o Dr. Wagner Bezerra, diretor da clínica Wagner Bezerra, localizada na Cidade dos Funcionários, o aumento já era esperado.
“Percebemos que as pessoas estão se cuidando mais, prestando atenção à sua saúde bucal. Isso tem elevado a demanda por procedimentos”, ressalta o especialista.
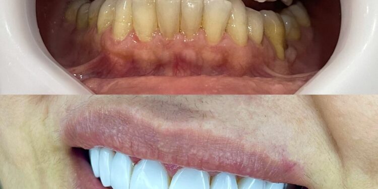
O profissional explica que os implantes dentários ajudam a restabelecer a função mastigatória, além de conferir um sorriso mais harmônico. “Há inúmeros outros aspectos relacionados à alimentação, autoestima e segurança. Muita gente deixa de sorrir por vergonha. Com os implantes, essa situação muda totalmente”, explica.
O dentista alerta que antes de qualquer procedimento, é importante passar por uma avaliação profissional prévia. “Ela é necessária para a realização do planejamento de cada paciente”, avalia.
Clínica Dr. Wagner Bezerra
A clínica do Dr. Wagner Bezerra é uma das mais conceituadas de Fortaleza. Localizada na Cidade dos Funcionários, na Avenida Deputado Joaquim Correia nº 72, já recebeu os cantores Taty Girl, Aldair Playboy, Js Mão de Ouro, além dos humoristas Pobretion, Bruninho Diferente, Everton Cassio, Rodolfo Rodrigues, entre outros.
Dr. Wagner também é destaque nas redes sociais. Com mais de 130 mil seguidores no Instagram, o profissional dá dicas sobre como cuidar da saúde bucal e mostra seus resultados que vêm transformando vidas e elevando a autoestima das pessoas.





















